Hoy País A los 19 años. Murió Clara Giménez, la joven que conmovió al país al mostrar su ostomía 7 de junio de 2025
Salud Prevención y control. Cáncer de vejiga: la importancia de detectar a tiempo la enfermedad 20 de mayo de 2025
Salud Enfermedad infecciosa. Tuberculosis: un 38% de aumento de casos alerta a la población 23 de abril de 2025
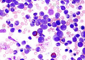
Salud Tratamiento. Avances científicos mejoran el pronóstico de la leucemia más frecuente 22 de abril de 2025
Salud Trastorno del movimiento. Unas 100.000 personas conviven con Parkinson en Argentina 14 de abril de 2025
Salud Tumor óseo. Qué es el osteoblastoma, la enfermedad que tiene Julio Iglesias 31 de marzo de 2025
Salud Nuevo tratamiento. Aprueban en Argentina el primer biológico para casos no controlados de EPOC 29 de marzo de 2025
Mascotas Contagios. Tos de las perreras: la enfermedad respiratoria que afecta a los perros sociables 21 de marzo de 2025
Sociedad Envejecimiento saludable. Una encuesta reveló que el 52% de los adultos se sienten más jóvenes 24 de febrero de 2025
Salud Desafíos. Diagnóstico y tratamiento en enfermedades poco frecuentes: avances recientes 23 de febrero de 2025
Información General Dengue. Prevención y control de foco en los barrios de la ciudad 17 de febrero de 2025
Hoy Córdoba Cortes de tránsito en Martín García y Donato Álvarez por obras de Aguas Cordobesas 3 horas atrás
Hoy Córdoba Operativo DNI: estará el lunes en barrio Cupani y el miércoles en Patricio Oeste 4 horas atrás