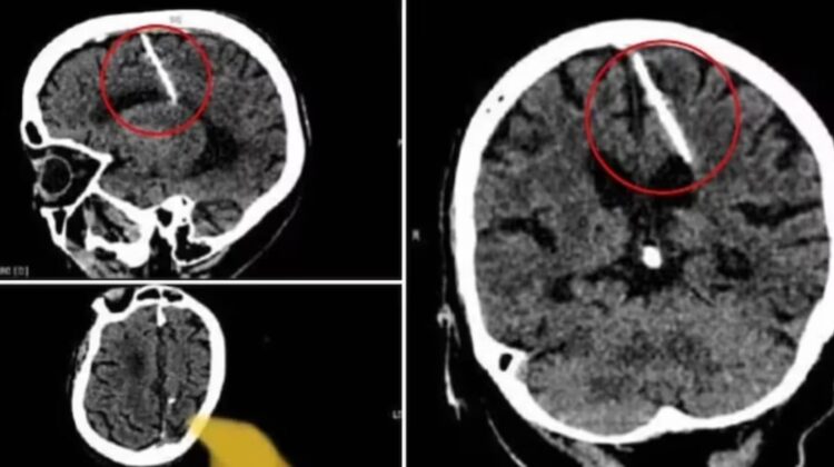
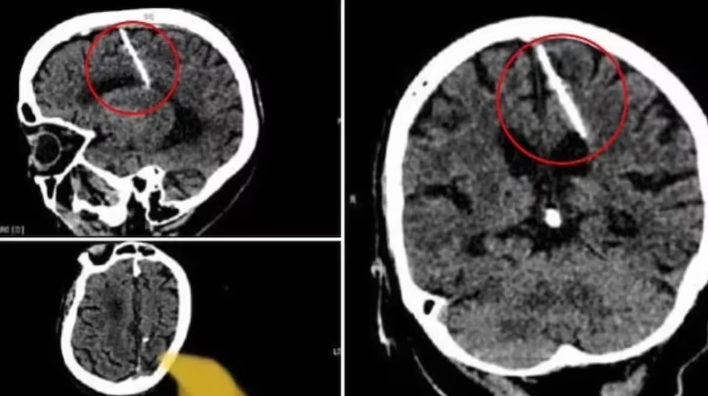
En Sajalín, una isla de Rusia, una mujer de 80 años fue a hacerse una tomografía a un centro médico y descubrió algo que la descolocó: los resultados demostraron que tenía una aguja de tres centímetros insertada en el cerebro y que llevaba allí la mayor parte de su vida.
El elemento punzante se ubicaba en un sector de su lóbulo parietal izquierdo y, afortunadamente, no parecía traerle ningún tipo de secuela. Sin embargo, todo cambió cuando se enteraron la verdadera y escalofriante razón por la cual la mujer había sufrido tal lesión.
Después de obtener las inesperadas imágenes, los especialistas decidieron que lo mejor era no retirarle la aguja ya que cualquier operación cerebral podría presentar un riesgo en una persona de una edad avanzada como ella. Si bien ya era sorprendente que el elemento no estuviera causando ningún trauma, la explicación del hecho terminó por dejarlos sin palabras.
Resulta que, cuando aún era una nena, la mujer había sufrido un intento de infanticidio por parte de sus propios padres. En ese entonces, era 1943 y el territorio aún formaba parte de la Unión Soviética, donde se sufría la devastación de la economía y la pobreza por la guerra. Incluso, el hambre por parte de sus habitantes llegó a matar a 11 millones de personas y a tomar medidas insólitas.
De acuerdo a Daily Mail, el Ministerio de Salud de Sajalín informó que, en ese momento, los padres “llegaban al extremo de matar a sus hijos recién nacidos” porque no tenían forma de alimentarlos y mantenerlos a salvo. En este sentido, uno de los métodos comunes era clavar una aguja en el cerebro del bebé.
Esta técnica se realizaba a través de la fontanela, un punto blando en la cabeza de los nenes que unifica los huesos del cráneo, ya que era la forma para que tiempo después no quedaran “huellas” del crimen.
Los expertos aseguraron que ella se encuentra fuera de peligro, aunque la mantienen bajo observación debido a la delicada lesión. Según informaron, el elemento punzante está ubicado en el sector del cerebro donde se procesa la información sensorial. Aún no se explican cómo logró sobrevivir y lo califican como un “milagro”.









